Red Bulls NBA Team
red bulls nba team
:)
7 PEMAIN BOLA BASKET TERPENDEK DI DUNIA
1. Tyrone “Muggsy” Bogues (160 cm) Lahir dan dibesarkan di Baltimore, MD, Tyrone Bogues adalah orang terpendek yang pernah bermain di NBA. M...
chicago bulls derrick rose dunk
chicago bulls derrick rose xxBURT0Nxx Apr 6, 10:31 AM Wirelessly posted (Mozilla/5.0 (iPhone; U; CPU iPhone OS 4_3_1 like Mac OS X; en-u...
STOP Losing Your Hair!
By Patrick Driessen "A hair on the head is worth two on the brush." - Irish Proverb As you might know, I always like to share my ...
Raffi Torres, Human Bowling Ball: Photoshop Gallery 3
As you may know, PITB is making the California road trip this year, but we'd hate to leave you with nothing new to peruse in our absence...
lebron james miami heat dunk wallpaper
images miami heat jersey lebron wallpaper lebron james miami heat pics. lebron james dunking wallpaper. lebron james heat dunk wallpaper....
selena gomez justin bieber kissing hawaii
images Justin Bieber sexy kiss for house Selena Gomez and Justin aat0995 07-03 05:48 PM I have it with WAC and then it got transferred to T...
ray ban wayfarer
images New Ray Ban Wayfarer Folding like the Ray Ban Wayfarer. calaway42 10-03 11:34 PM This is the tute i was talking about.. http://robo...
emma watson wallpapers hd 2011
images emma watson 2011 wallpaper. Emma Watson Hd Wallpaper InTheMoment 07-28 01:17 PM Applicable from RD - Receipt Date printed on your re...
Bulldogs Add Carlson, A Transfer From Albion College
Ferris State University softball head coach Keri Becker has added the duties of interim athletics director to her plate, since the retirem...
Sunday, June 5, 2011
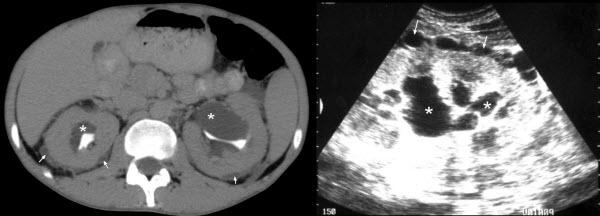
referred abdominal pain
Abdominal pain - 4386.4.jpg
Visceral Referred Pain
commonly referred to as a
patterns of referred pain
Referred pain may occur in
causes abdominal pain,
B) Referred pain from the TLJ
Abdominal quadrants
Stomach cramps during your
Stomach pain is also referred
Abdominal pain - 4893.png
Unusual Lower Abdominal Pain
of vague abdominal pain,
Children with abdominal pain
and abdominal pain and
Understanding referred pain
Acute abdominal pain.
of chronic abdominal pain
UPPER ABDOMINAL PAIN OR PAIN
No comments:
Post a Comment
Newer Post
Older Post
Home
Subscribe to:
Post Comments (Atom)
No comments:
Post a Comment